A Look into Age-Related Vision Problems

Aging is an inevitable part of life that comes for us all, but there are measures one can take to slow its progress, especially in terms of eye health. With September recognized as Healthy Aging Month, we urge you to make eye health a priority, this month – and every month forward.

Age-related macular degeneration (AMD) is the leading cause of vision loss in people over the age of 50. Glaucoma, diabetic retinopathy, ocular melanomas and cataracts are other conditions  people face when entering those golden years. The occurrence and severity of these problems can be reduced by focusing on overall health and wellness.1 Vision impairment can limit physical activities, which is why the early detection of problems is key.

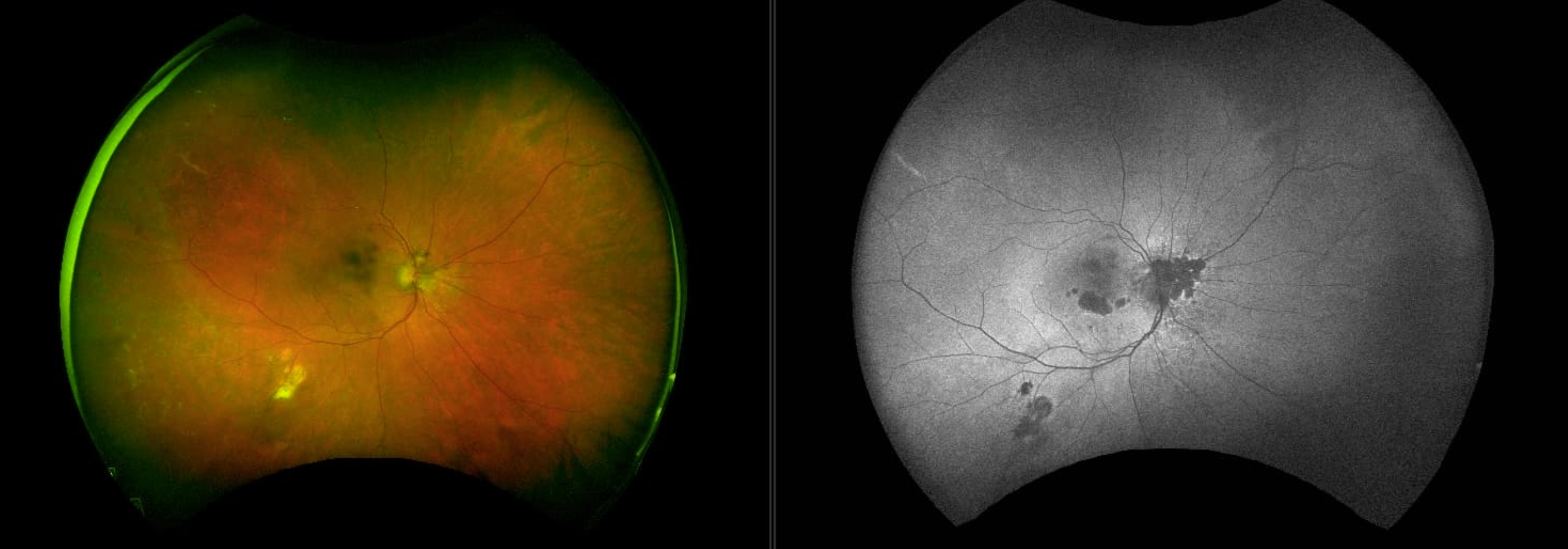
AMD optomap color rg and af
AMD in optomap color rg and af images

 

What to look for

From trouble reading fine print (presbyopia) and difficulty driving at night to glare sensitivity and dry eyes, symptoms of vision change can begin to appear around the age of 40.2 Reading glasses, contact lenses, refractive surgeries and even eyedrops are available to get vision back on track. Treat all signs of impairment as a cause for concern and contact your doctor upon any changes. Patient outcomes are most successful when treatment starts before symptoms begin.

Additional indicators of aging eyes:

·        Objects blending into backgrounds

·        Dry eyes

·        Floaters or spots within vision

·        Flashes of light

·        Hereditary factors

 A comprehensive optical examination that uses ultra-widefield (UWF™) imaging with optomap, is a critical step to safeguard eye health. optomap imaging helps enable practitioners to detect ocular and systemic ailments that are linked to age. An optomap is a high-resolution, single-shot of 82% of the retina, which allows practitioners to detect problems that could lie in the periphery. In addition to common eye illnesses, high cholesterol and blood pressure, diabetes, vitamin deficiencies and a variety of diseases have also been discovered through eye exams.

Make healthy choices

Maintaining a healthy diet and exercise are habits that combat diabetes, obesity and other conditions that negatively affect eye health. Antioxidants, zinc, leafy greens, and vitamins A, C, and E are nutrients that benefit eye care.3 Forego refined sugars and fried foods, choosing a whole-foods diet instead.

Quit smoking. Smoke harms the optic nerve and mitigates the risk of cataracts and macular degeneration in addition to the havoc it wreaks on your lungs and throat. If you smoke, stop.

Set your eyes at ease. Too much time is spent behind a screen and eyes need a break. Follow the 20/20/20 rule: for every 20 minutes spent on screen, spend a minimum of 20 seconds focusing on an object 20 feet away.

To reduce eye strain and fatigue, contact lens wearers should purchase blue light glasses, and existing prescription glasses should be updated with a coating for added blue light protection. When outdoors, always wear UV blocking sunglasses along with a wide-brimmed hat.

Benjamin Franklin once said, “An ounce of prevention is worth a pound of cure,” which means it is better to take precautions than to suffer consequences. Simple lifestyle adjustments made today can lower the risk of health conditions that lead to vision problems later. Stay on top of your eye care. Set up annual appointments, complete with an optomap for year-over-year pathology tracking to set your mind at ease. Visit our website for a full list of nearby providers.

1 How to Improve Your Vision With Physical Exercise, Drew Sutton, MD 2023
2 21 Ways Agind Changes Your Eyes-American Academy of Ophthalmology, Vered Hazanchuk, MD 2022
312 Foods for Eye Health and Eyesight to Include In Your Diet, verywellhealth 2024