Age-related Macular Degeneration (AMD)
Age-related macular degeneration is found in two forms 1. Dry early form. 2. Wet (serous leakage or whole blood). Early dry form typically has drusen (>63u) and RPE degeneration and only needs periodic follow-ups, intermediate dry form has large drusen (>125u) and RPE degeneration and proliferation which requires examinations every 3 to 6 months depending on the severity of the presentation.
Studies have found that 97% of AMD patients have drusen in the periphery and concluded that “documentation of such finding may have implications regarding the risk of visual loss in AMD patients. AMD is NOT confined to the posterior pole” (Chew, et al. Peripheral Retinal changes associated with AMD in the Age-related eye disease study).
The recommended modality for utilizing optomap to visualize drusen, the green channel (which is captured with optomap color images).
Clinical Studies
Multimodal optomap Images Enhance the Management of AMD
optomap has helped re-define AMD as a pan-retinal disorder.
Peripheral Changes Found in 97% of Patients with AMD Imaged with optomap in the Reykjavik and OPERA studies
Phenotyping the retinal periphery using the categories defined by the International Classification confirmed the presence of wide-ranging AMD-like pathologic changes (97%) even in those without central sight-threatening macular disease. Based on our observations, we propose here new, reliably identifiable grading categories that may be more suited for population-based UWFI.
Evaluation of Peripheral Retinal Changes on Ultra-Widefield Fundus Autofluorescence Images of Patients with Age-Related Macular Degeneration.
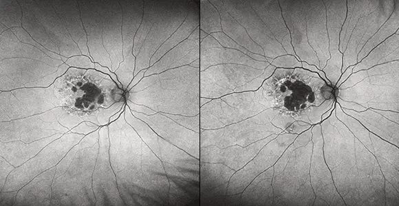
optomap Multimodal AMD Cases
Optos offers multimodal imaging with all ultra-widefield devices. Having both ultra-widefield and four images captured in less than one second has been shown to enhance pathology detection and disease management as well as improve practice and clinic flow. Ultra-widefield multimodal imaging is important across all access points of patient care - screening, detection, diagnosis, and treatment.


